【新品上市】皓圣亲水ETIII NH“钙”种植体 - 国际专利高端纳米HA表面
浏览量:131 发布日期:2026-04-02
美国皓圣 ETIII NH“钙"种植体以其优秀的表面处理技术而闻名持续致力于为全球牙科医生提供安全、高效、优质的种植解决方案。
加快骨愈合速度,提高骨整合能力

ETIII NH纳米HA表面“钙”种植体采用亲水SA(氧化铝喷砂酸蚀)表面并结合全球专利低结晶度纳米羟基磷灰石涂层技术。这种超亲水NH表面能确保在任何骨质类型植入时均可获得最佳治疗效果。
同时,通过其独特的螺旋螺纹、锥型体部设计可获得卓越的初期稳定性。
与传统种植体对比的优势
1.生物可吸收磷灰石涂层,厚度仅为10纳米

2. 生物可吸收磷灰石
在骨整合过程中随着磷灰石涂层被吸收,骨直接在SA表面形成

3. 超亲水表面
血小板黏附率提升12%(优化初期骨整合);细胞分化率提升12%(加速骨整合进程)超薄纳米涂层:生物可吸收磷灰石涂层,厚度仅为10纳米

4. BIC显著改善
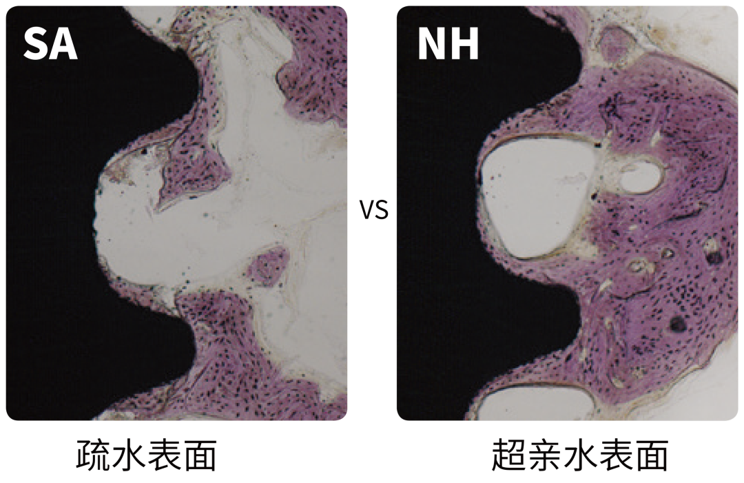
相比SA表面,超亲水生物可吸收磷灰石表面的BIC(骨-种植体接触)提升39%

可预测的高成功率
本项2018年的前瞻性临床研究报告记录了使用皓圣ETIII NH种植体植入后四周内的ISQ(种植体稳定系数)测量数据。
下表详细列出了临床研究期间上颌与下颌种植体的平均ISQ数值。研究期间未发生种植失败或并发症。

种植体植入后测得ISQ值高达75以上,表明其具有优异的初期稳定性。在为期四周的骨整合期间,平均ISQ值持续提升且未出现稳定性下降。
超亲水表面显著提升了润湿性且增强血液附着能力。在骨改建阶段纳米磷灰石涂层被吸收,新生骨组织与SA表面实现紧密结合。
本研究结果证明,皓圣ETIII NH“钙”种植体显著加速了骨愈合进程,支持约四周后实施功能性负重。



