德国DMG轻、中、重度氟斑牙-ICON渗透治疗
浏览量:4246 发布日期:2016-04-06
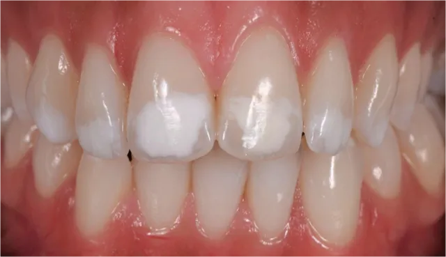
案例1:轻度氟斑牙
Dr. med. dent. Arzu Tuna, Dr. med. dent. UmutBaysal, Dr. Rainer Valentin
作为日常检查的一部分,患者强烈要求对前牙区的白色斑块进行治疗(Fig. 1). 权衡比较了多种治疗方案后, 患者和我们共同选择了渗透治疗。
经大量研究和证据表明,渗透治疗是最适合用于牙正畸后由于牙釉质脱矿造成的白斑病变。根据患者的居住地区和成长经历以及白斑的表现形式,我们将位于牙位11和21的唇面白斑诊断为氟牙症指数0.5(根据Dean的社区氟牙症指数).
渗透治疗能够消除白斑完全是基于改变折射率,使其接近正常的白色透明.正常牙釉质的折射率在1.62. 而不同的折射率使光线分散造成牙釉质白斑外观.
不管是脱矿的早期龋或是轻度氟斑牙, 在早期阶段我们肉眼所看到的白斑改变都是由于较低的折射率造成. 对病变区域进行渗透治疗将改变折射率从而消除不透明的白斑。
大部分前牙唇面渗透治疗的数据都来自于牙正畸治疗后的患者,这种白斑能够轻易的并且永久的被去除。
首先, 应清洁牙齿或者由您的私人牙医为您处理.应用橡皮障之后 (Fig. 2),
应用icon酸蚀剂酸蚀唇面2分钟(Fig. 3).
由于最初的酸蚀结果并不令人满意,因此我们重复酸蚀步骤. 利用乙醇干燥之后,可以看到颜色的改变。但是酸蚀结果还是不满意,因此我们进行了第三次酸蚀。在每一次酸蚀之后, 都应将酸蚀剂彻底冲洗干净然后用icon干燥剂进行干燥 (Fig. 4).
然后涂布icon渗透树脂并静置3分钟(Fig. 5), 将多余的材料清除后进行光固化 (Fig. 6). 重复此步骤,静置时间缩短为1分钟.
经抛光, 治疗结果令人满意并且印象深刻 (Fig. 7 and 8)。
根据制造商提供的资料, 渗透治疗用于非釉质龋引起的牙釉质白斑病变的成功率缺乏可靠的数据,渗透治疗的成功高度依赖于氟斑牙的严重程度. 对于轻度到中度的氟斑牙, 渗透技术已经成功的应用于氟斑牙的外源性治疗.
我们选择渗透治疗是因为在本病例中是最为微创的方法,即使渗透治疗不成功, 也不会影响我们进行其它的对牙釉质损伤较大的治疗。结合渗透技术的综合治疗方案是绝对合理的。
案例2:轻-中度氟斑牙
1、术前检查,并清洁牙面
2、牙齿表面喷砂处理,或用微研磨剂打磨氟斑表面,此步目的:去除釉质表层致密矿化层30-50微米
3、酸蚀4分钟
4、冲洗、干燥后
5、渗透
6、治疗后效果
案例3:重度氟斑牙
武汉大学口腔医院 王贻宁教授
氟斑牙的治疗方案取决于其严重程度。对于严重的氟斑牙通常选择侵入性治疗手段,例如复合树脂修复、瓷贴面和全冠等。然而,该类治疗方法不可避免地导致牙体硬组织的损伤及牙齿机械性能的改变。尤其是对于年轻的氟斑牙患者,早期使用侵入性的方法会加速牙齿的破损。此外,上述侵入性治疗手段会产生较高的临床费用,因此,氟斑牙的治疗应该提倡更为保守的治疗方法,其不仅能降低临床费用,而且缩短诊疗时间。
本文将介绍一种改善重度氟斑牙美学的微创疗法。
临床病例报告:
一28岁女性患者来我院修复科就诊,主诉为前牙严重的牙齿着色和缺损十余年,要求改善牙齿的美观。临床检查表明该患者有重度氟斑牙,极大的影响了前牙美学。
考虑到患者为年轻人,保守治疗方法比传统侵入性治疗手段更为合适。术前牙周治疗预防牙龈炎症和改善牙龈健康状态,随后联合采用釉质打磨、牙漂白和树脂渗透来处理牙釉质表面。
1、利用高速涡轮机配105 um金刚砂车针磨除200-400 um的牙釉质。
2、利用中-细抛光盘 打磨釉质表面并消除尖锐角。
3、在牙颈部涂布光固化的牙龈保护剂 ,在釉质表面涂布含硅脲微粒和6.6%盐酸的研磨膏 ,利用橡皮杯微打磨120 s。
4、微打磨后,利用诊室内漂白剂减轻氟斑牙表面的棕色着色。
随后,在牙面上涂布抗敏感保护剂,停留5 min后吸除,水彻底冲洗牙釉质表面并移除牙龈保护剂。
在诊室内漂白的同时联合运用家庭漂白。在使用8支10%过氧化脲凝胶后,患者很满意漂白效果。
5、由于氟斑牙存在釉质矿化不全等问题,家庭漂白两周后,使用标准的树脂渗透技术 (Icon, DMG Products, Hamburg. Germany) 来预防釉质龋。最后,彻底改变患者的前牙美学,并在一年后仍保持稳定
讨论:
众所周知,氟斑牙的形成与牙齿矿化过程中摄入过多氟元素有关。过量的氟干扰釉质磷酸盐晶体的形成,导致釉基质蛋白退化,从而使釉质产生白色或棕色的颜色改变及不同程度的釉质缺损,这些决定了氟斑牙的严重程度。
粗打磨主要用于磨除釉质浅层高度着色和存在缺损的氟化釉质。这一步骤可消除釉质内着色,缩短临床治疗时间。有研究表明,25%-33%的釉质厚度减小不会引起临床改变或引起可接受的临床改变。因此,操作良好的粗打磨在治疗重度氟斑牙中是可接受的治疗方法。
为了使得氟斑牙颜色更协调,微打磨和牙齿漂白技术在粗打磨后应用于治疗重度氟斑牙。此外,诊室内漂白后应用氟保护剂可以消除潜在的牙齿敏感问题。
利用树脂渗透技术治疗重度氟斑牙是一项新技术。采用这一技术,主要同氟斑牙结构和树脂性质有关。一般来说,氟斑牙釉质深层存在弥散的矿化不全和多孔结构。当表层氟化的釉质通过粗打磨和微打磨磨除后,深层矿化不全的釉质暴露在口腔环境中,其多孔结构为细菌和酸提供了通道。
因渗透性树脂有极低的粘性、与釉质的接触角低且表面张力高,其可以穿透并封闭釉质中的通道。而且,因其与釉质有相似的折射率,树脂渗漏可以改变孔隙的白垩色外观,并减少孔隙和釉质对光线散射的差异,进而导致釉质颜色的改变。
这一新技术同传统技术相比减少了重度氟斑牙的治疗费用。例如:考虑材料消耗和椅旁时间,全瓷修复可能比该技术需要10倍花费。
结论:
利用釉质打磨技术联合牙齿漂白和树脂渗透技术的微创方法是治疗重度氟斑牙的有效方式。同时,这一技术费用低、省时间。

